Cosmetic Dentistry Smile Gallery
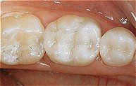
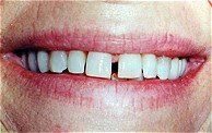
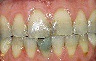
They say a picture is worth a thousand words. Take a look below at some of our patient's before and after photos. Are ready to enhance your smile? Call us today!
They say a picture is worth a thousand words. Take a look below at some of our patient's before and after photos. Are ready to enhance your smile? Call us today!
© Copyright 2025 Parkway Restorative Dentistry | All Rights Reserved | Accessibility | Site Design by The Infinity Group.